URSULA LÜTZ-MEINDL – FUNDED RESEARCH
Funded Research
- “Ice management and freeze dehydration of plant cells“ together with University of Innsbruck (Prof. Dr. Gilbert Neuner, project leader), (FWF, P 30139-B32 1.1. 2018 – 30. 6. 2021)
- Subcellular localization of heavy metals in bog algae (P21035-B16, FWF, Austrian Science Fund, 2009 -2012)
- Aging, cell death and degradative pathways in an “immortal” unicellular alga (FWF, Austrian Science Fund P18869-B16 (2006 -2009)
- Analysis of intracellular mucilage formation and excretion in green algae by energy filtering electron microscopy (EFTEM) (FWF, Austrian Science Fund P15849, 2002-2005)
- Regulation of intracellular motiliy and function of motor proteins in green algae (Desmidiaceae) (FWF, Austrian Science Fund P13719 BIO, 1999-2002)
- Golgi and ER functions in the green alga Micrasterias under normal conditions and experimental influence (FWF, Austrian Science Fund P12218 BIO, 1997-2000)
- Actin and actin-binding proteins in desmids (FWF, Austrian Science Fund, P10898 MOB, 1996-1999)
Further ResearchPrograms
- Product formation and processing at ER and Golgi domains
- Biochemical and cytochemical analysis of cell wall structure and composition
- Analysis of plant ultrastructure by energy filtering transmission electron microscopy (EFTEM)
- Ageing processes in unicellular organisms
- Immunolocalization of cytoskeleton- and secretion proteins
- Impact of environmental conditions on cell growth and differentiation

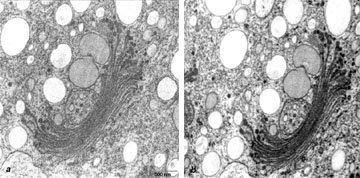
Dictyosomes in Micrasterias. a Elastic brightfield filtered at zero-loss energy. b High contrast image, taken below the carbon specific absorption edge (250 eV). From Lütz-Meindl & Aichinger, 2004.